冬春兩季是小孩出水痘的高發季節。通常情況下,水痘的傳染力很強,在小朋友集中的幼兒園,只要有一個小朋友得了水痘,其他的小孩子也很容易受到傳染,據不完全統計,在幼兒園中的傳染率會達到80%左右。因為水痘的高傳染率,一旦幼兒園班上有小朋友感染,也會引起各位爸爸媽媽的擔心,擔心自己的孩子也會發水痘,那么小孩出水痘前是什么樣子?小孩子出水痘有什么癥狀呢?第一寶寶小編將會給大家詳細介紹。
![小孩出水痘前是什么樣子?小孩子出水痘有什么癥狀呢[圖片]-1](http://m.iarchitec.com/uploadfile/2017/0116/20170116101851779.jpg)
哪些地方孩子容易感染水痘病毒
通常來說,只要是小孩集中的地方,比如說是幼兒園,只要有一個小孩感染了水痘病毒,水痘病毒就會隨著感染者,出現在感染者經過的塵土,穿過的衣物,用過的玩具上面,因而,無論是與感染了水痘的小孩有直接的接觸,還是間接的接觸,都極容易感染水痘病毒。(什么季節最容易得水痘?如何預防孩子生水痘)
![小孩出水痘前是什么樣子?小孩子出水痘有什么癥狀呢[圖片]-2](http://m.iarchitec.com/uploadfile/2017/0116/20170116101909159.jpg)
小孩出水痘前是什么樣子?
如果孩子感染上水痘病毒后,一般要經過2~3周的潛伏期后才出現癥狀。這個階段孩子身上是沒有什么癥狀的。
大約經過2個星期的潛伏期,寶寶會出現發燒、頭痛、身體不舒服、食欲不振等方面早期的癥狀,這時候的癥狀非常的像感冒,媽媽要注意辨別。
一旦寶寶是在春季或者是冬季里出現感冒的癥狀,媽媽們最好給寶寶服用治療感冒的藥物,因為在水痘前期抗感冒藥物對水痘病情也有一定效果。
小孩出水痘的癥狀有哪些?
1、如果孩子一旦感染水痘病毒,在經過潛伏期以后,會出現頭部發熱、食欲減退、渾身無力等癥狀,尤其是身體條件本來就差的小孩。
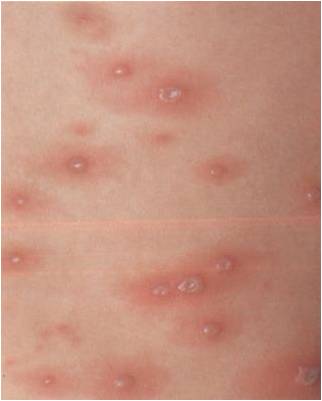
2、小孩出水痘的時候,早期只是一些紅色的小斑點(一般在腹部、背部、耳朵等地方,家長可以仔細觀察),在幾個小時以后,就會慢慢的發展成為綠豆般大小的水泡,并且有嚴重的瘙癢感。

溫馨提示:家長一定要阻止小孩將水泡抓破,這樣很容易感染其他細菌,引起其他的水痘并發癥。如果抓破面部的水泡,還可能會留下疤痕。
3、孩子出水痘時,首先是在軀干部位出現一系列的癥狀反應,然后才逐漸的蔓延到頭面部以及四肢。但總的來說,出水痘的主要位置分布在軀干位置,面部、四肢出現的癥狀,往往要比軀干部為少。
另外,口腔、眼部、咽部、外陰等也有可能出現感染水痘的癥狀,并且有強烈的疼痛。
小孩出水痘的癥狀詳解
(1)寶寶出水痘以后,皮膚分批出現丘疹、皰疹和結痂
在出水痘數小時或者是1天的時間,寶寶身上的皮膚會慢慢的出現具有特征性的丘疹。
最初只是在腹部或者是背部出現猶如蚊子咬了似的紅色小疹點,而且一般也僅僅只有1—2個,數小時后就發展到手腕和腿部等處,一部分變成水泡(此時的水泡也由小米粒一般大漲到猶如綠豆般大)。
(2)寶寶皮膚出現紅疹和水皰
寶寶出水痘24小時后,寶寶的臉上、背上、腹部、四肢等各個地方均會出現紅疹點和水泡,一部分會開始結痂,持續一周左右痂皮脫落。 皮疹軀干部最多,頭面部次之,四肢較少,手掌、足底更少,看起來像是三種疹形并存。

(3)寶寶出現發熱
寶寶被傳染后的14—17天前后,開始出現38℃左右的發熱癥狀,并持續1—2天,伴有頭痛、流涕、咳嗽等癥狀。
溫馨提示:如果寶寶出現發熱癥狀,家長一定要幫助寶寶退熱,預防高燒出現。
以上是小孩子出水痘的癥狀,如果家長一旦發現自己的孩子疑似水痘,請盡早就醫,避免耽誤病情。您還可以閱讀“小孩子為什么會出水痘?孩子長水痘怎么辦”,了解更多的孩子疾病護理知識。
